Intervento eccezionale della Chirurgia Toracica del Gom, rimosso un cacciavite odontoiatrico incastrato in un bronco
La paziente è giunta al Pronto Soccorso affetta da una tosse persistente e di un forte dolore a livello toracico

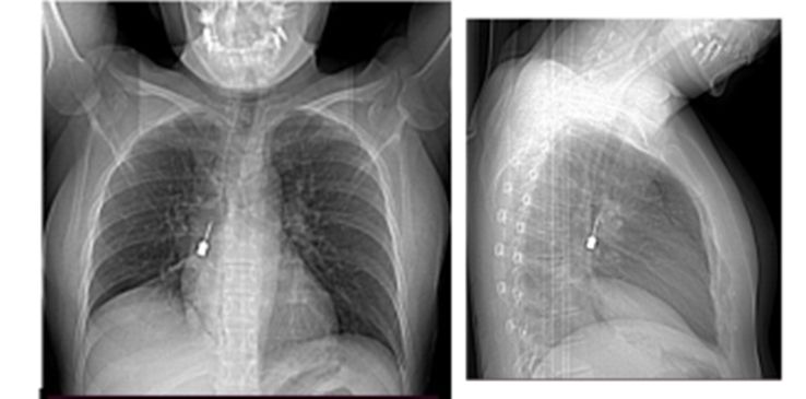
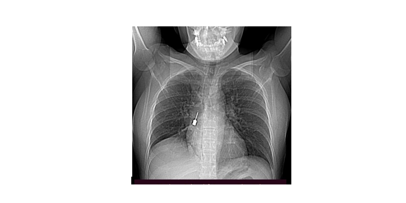
REGGIO CALABRIA Delicatissima procedura endoscopica effettuata nelle scorse settimane al Grande Ospedale Metropolitano di Reggio Calabria. Il Direttore dell’UOC di Chirurgia Toracica, Baldassare Mondello, insieme alla sua équipe, ha estratto in urgenza per via broncoscopica un cacciavite odontoiatrico accidentalmente inalato da una giovane donna. La paziente è giunta al Pronto Soccorso del G.O.M. esibendo un esame di diagnostica per immagini (Tomografia Computerizzata) eseguito a causa di una tosse persistente e di un forte dolore a livello toracico.

La TC mostrava la presenza di un corpo estraneo metallico pericolosamente incastrato nel bronco lobare inferiore del polmone destro e un concomitante pneumomediastino, ossia la presenza di aria nello spazio compreso fra i due polmoni. Prontamente ricoverata, la paziente è giunta in sala operatoria ove è stata sottoposta in urgenza all’intervento. Il decorso postoperatorio, gestito dalla validissima équipe della U.O.S.D. Terapia Intensiva Post Operatoria (T.I.P.O.) diretta dal Massimo Caracciolo, è stato regolare e la paziente è stata dimessa in ottime condizioni. Il personale che ha coadiuvato Mondello nell’intervento: Massimino Messinò (medico in formazione), anestesisti, Lilly Gatto e Leonardo Cosenza. Personale del Blocco Operatorio: CPS Fortunato Quattrone, CPS Angela Fiozzo e CPS Paolo Pennestrì. (redazione@corrierecal.it)
Il Corriere della Calabria è anche su WhatsApp. Basta cliccare qui per iscriverti al canale ed essere sempre aggiornato