«La tubercolosi è la principale minaccia infettiva»
Il report 2024 dell’Oms: nel 2023 registrati oltre 8 milioni di casi

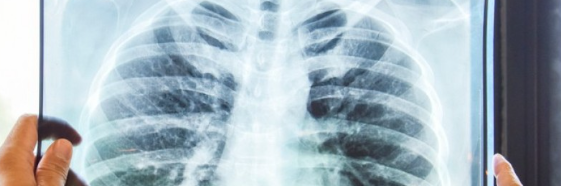
ROMA Circa 8,2 milioni di persone hanno ricevuto una diagnosi di tubercolosi nel 2023, il numero più alto registrato dal 1995 a oggi. Il numero vede un notevole aumento rispetto ai 7,5 milioni segnalati nel 2022 e “pone nuovamente la Tbc come principale malattia infettiva potenzialmente mortale nel 2023, superando il Covid-19”. Emerge dal Global Tuberculosis Report 2024 dell’Organizzazione mondiale della sanità, che evidenzia però anche la diminuzione dei decessi causati da questa malattia, passati da 1,32 milioni nel 2022 a 1,25 milioni nel 2023. La Tbc colpisce in modo sproporzionato le persone in 30 paesi, tra cui India (26%), Indonesia (10%), Cina (6,8%), Filippine (6,8%) e Pakistan (6,3%) che insieme coprono il 56% dei casi totali. Uno dei problemi è la sotto diagnosi: si stima che il numero totale di ammalati sia stato di circa 10 milioni nel 2023, ma i casi diagnosticati sono stati 8,3 milioni, con un divario di circa 2,7 milioni, anche se in calo rispetto al periodo della pandemia di Covid. In particolare la tubercolosi causata da batteri farmaco-resistenti è una criticità di sanità pubblica: delle 400.000 persone che si stima abbiano sviluppato la questa forma, solo il 44% è stato trattato nel 2023. I finanziamenti globali sono ulteriormente diminuiti e rimangono ben al di sotto del necessario: nel 2023 erano disponibili solo 5,7 miliardi di dollari rispetto all’obiettivo annuale di 22 miliardi. Anche la ricerca è “gravemente sottofinanziata, con solo un quinto dell’obiettivo annuale di 5 miliardi di dollari raggiunto nel 2022”, si legge nel report. Ciò impedisce lo sviluppo di nuove diagnosi, farmaci e vaccini. “Abbiamo gli strumenti per prevenire, individuare e curare la malattia, bisogna aumentarne l’utilizzo”, ha affermato Tedros Adhanom Ghebreyesus, direttore generale dell’Oms.
Il Corriere della Calabria è anche su WhatsApp. Basta cliccare qui per iscriverti al canale ed essere sempre aggiornato