Aneurisma toraco-addominale di 7 cm, intervento riuscito al GOM di Reggio Calabria
Si tratta di un intervento ad alta complessità con la patologia trattata con un approccio endovascolare mediante il posizionamento di endoprotesi

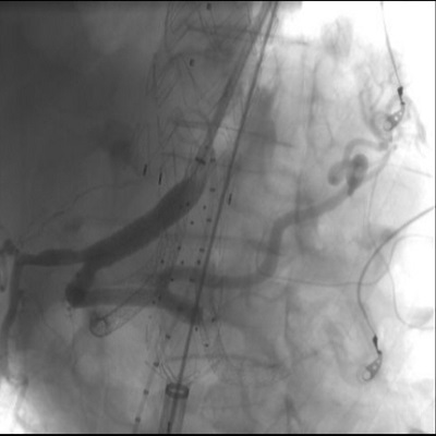
REGGIO CALABRIA Un intervento di elevata complessità è stato eseguito con dalla UOC Chirurgia Vascolare del GOM di Reggio Calabria su un paziente con un voluminoso aneurisma toraco-addominale (7 cm di diametro). L’aneurisma toracico è stato trattato con un approccio endovascolare, mediante il posizionamento di endoprotesi; successivamente è stata posizionata un’endoprotesi ramificata per i vasi viscerali ed una terza endoprotesi aorto-bisiliaca. Il decorso post-operatorio è stato ottimale: il paziente non ha avuto complicanze ed è stato dimesso al proprio domicilio in buone condizioni di salute.
L’intervento
Il complesso trattamento è stato eseguito con successo anche grazie alla collaborazione multidisciplinare dei chirurghi della UOC. Chirurgia Vascolare, diretta dal dr. Pietro Volpe, e del personale della UOSD Terapia Intensiva Post-Operatoria, guidata dal dr. Massimo Caracciolo. L’aneurisma dell’aorta toraco-addominale rappresenta una patologia non molto frequente ma con prognosi molto serie. La patologia richiede un trattamento altamente specialistico a causa del coinvolgimento di tutta l’aorta e dei rami viscerali che da essa originano, che è necessario preservare. Le tecniche endovascolari avanzate consentono di trattare tali patologie complesse che altrimenti prevedrebbero un trattamento chirurgico tradizionale gravato da un elevato tasso di mortalità e da lunghi tempi di degenza in terapia intensiva.

Il Corriere della Calabria è anche su Whatsapp. Basta cliccare qui per iscriverti al canale ed essere sempre aggiornato